予防歯科根管治療
歯肉が腫れた!セルフケアで治る?歯科受診のめやすとは???
歯磨きをしたら血が出てきた。鏡を見たら歯茎が赤く腫れている、ズキズキとした痛みがある…。など歯茎(歯肉)が腫れた事はお口の中のトラブルの中でも特に多くの方が経験している症状の一つではないでしょうか?
「疲れているからかな?」「放っておいてもそのうち治るかな?」軽い違和感程度だとついつい放置してしまいがちですが、その腫れの原因は歯周病や歯の根の病気といった、早期治療が必要なサインかもしれません。また、ストレスや疲れによる一時的な免疫力の低下が原因であることも。
今回はなぜ歯茎が腫れてしまうのか、その主な原因と、ご自身でできる応急処置、そして歯科医院で行う専門的な治療法はどんなのかを説明していきたいと思います。
歯茎の腫れる原因を正しく理解し、大切な歯を守るための第一歩として、ぜひご一読ください。

腫れる原因とは?
そもそも、歯肉が腫れる原因は一体なんなんでしょうか?歯肉が腫れる原因の主な原因は細菌感染症によるものがほとんどです。では、細菌感染症とはなんでしょうか?口腔内には300~700種の様々な口腔内常在菌が約1億個から1兆個ほど存在します。これには、むし歯菌や歯周病菌など色々な菌が含まれておりその、口腔内常在菌がバランスをとって共生関係を築いています。このバランスが崩れると歯肉の腫れや痛みを引き起こします。

細菌感染症
細菌感染症を引き起こす原因としては主に5つ存在します。

1,寝不足や疲労によるストレス;どれだけきれいに口腔内環境を整いていても、ストレスが溜まると自律神経が乱れて免疫力の低下を招き、歯茎が細菌に感染して一時的に歯茎が腫れることがあります。また、寝不足・疲れなどのストレスで自律神経が乱れると、唾液の分泌量が少なくなります。唾液の量が少なくなると自己免疫機構の働きが弱くなりさらに歯肉が腫れやすくなります。この場合の対処法としては、十分な睡眠をとり、自己免疫力を上げるしかないです。

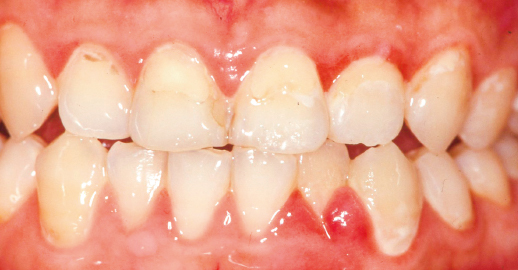
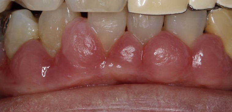
2,歯周病、歯肉炎;歯肉炎は、歯垢(プラーク)や歯石の細菌が原因で起こります。ブラッシング不足などでプラークが蓄積すると歯肉の炎症が生じます。炎症が生じると歯肉の腫れや易出血が起ります。この段階の腫れはしっかりブラッシングを行う事で消失していきます。しかし、この状態を放置すると歯周炎に移行していきます。歯周炎に移行してしまうと歯茎からの排膿や出血が生じます。この状態ではブラッシングを行ってもあまり改善しません。専門的なクリーニングや抗生物質の服用が必要となって来ます。

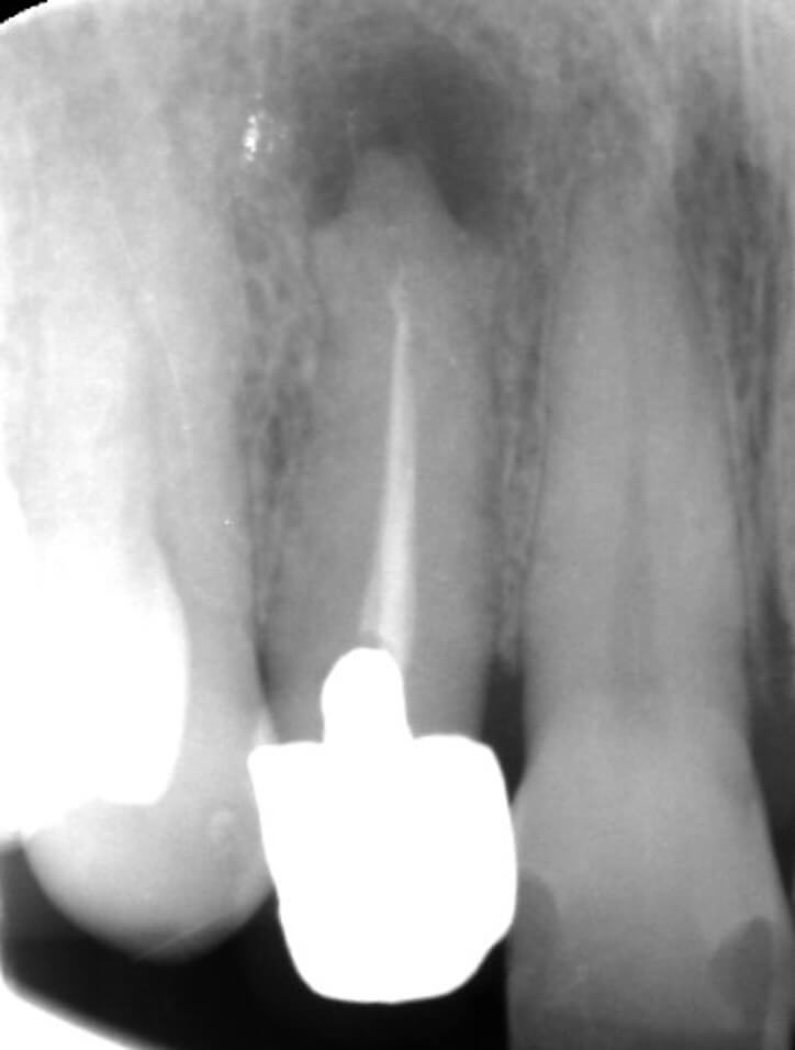
3,根尖性歯周炎;根尖性歯周炎とは歯の神経をとった歯に起きる、歯根の先端から細菌が周囲の骨や組織に感染して炎症や膿がたまる病気です。根尖性歯周炎では、普段は腫れや痛みがない事が多いです。しかし、体調不良や免疫力が低下した時には歯自体が何もしていなくてもズキズキ痛む、歯茎や顔が腫れるといった強い痛みや腫れが出ることがあります。根尖性歯周炎の腫れの特徴としては抗生物質を服用するか、もしくは根管治療を行わなければ絶対に治ることはありません。

4,歯の破折;根尖性歯周炎と似てはいますが、歯が破折していたり、完全に歯が破折していなくてもひび(クラック)が入っていると、そこに細菌が溜まりそこから感染が起き歯肉が腫れてきます。この場合、抗生物質を服用し腫れを引かす必要があります。その後、抜歯などの処置が必要となってきます。

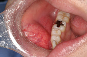
5,智歯周囲炎;智歯、いわいる親知らずの周りの歯肉の腫れのことです。親知らずは大体20歳前後で萌出してくることが多いです。その場合、噛み合わせや咬合は確立しています。なので、スペースが無い場合が多く、その場合横向きや斜め向きなど、曲がって萌出してきます。その為、歯と歯肉の間に隙間が出来てしまう事が多いです。そこに、細菌が溜まることで歯肉が腫れてきます。智歯周囲炎の場合、痛みの度合いはそれぞれですが、ひどい場合は首のリンパまで腫れてくることがあります。軽度の場合は、ブラッシングをしっかりすれば、治ってきますがリンパまで腫れてしまうと抗生物質を服用しなければ治りません。さらに、ひどい場合は点滴などの処置も必要となってくる場合があります。
細菌感染症以外に腫れる場合

細菌感染症以外に歯肉が腫れてくるものとしては幾つかあります。
腫瘍;少し腫れる系統が違なりますが、良性腫瘍などでも歯肉が腫れる事があります。ただ、良性腫瘍の場合、歯肉が腫れていても痛みはありません。逆に悪性腫瘍の場合、腫れることはあまりないですが、痛みや潰瘍を伴うことが多いです。腫瘍の場合、自分で判断せずに歯科医院を受診する必要があります。基本的には、切除など外科的処置が必要です。

薬の副作用;高血圧に用いられる降圧剤(カルシウム拮抗薬)・抗てんかん薬・免疫抑制薬といった薬の副作用でも、歯肉の増殖が起きる事があります。この歯肉増殖が起きた場合、ブラッシングが出来なくなり結果的に歯肉の腫れが生じます。薬物による歯肉増殖では基本的には薬の変更しかありません。薬の変更後、それでも治らない場合は歯肉の切除が必要となってきます。
対処法

歯肉が腫れるといっても実際に個人が判断して処置を行う事はかなり難しいです。基本的には丁寧なブラッシングを行い、自己免疫力を回復する必要があります。その上で、痛み等が引かない場合は速やかに抗生物質の服用や原因の除去が必要になってきます。
歯肉がひどく腫れている急性期場合はその部位を冷やす事で痛みが減少しますが、冷やし過ぎると治りが悪くなる場合があります。その為、急性期には有効ですが慢性期には何もしない方が早く治る事があります。
まとめ
このように歯肉の腫れる原因は歯周病から一時的な体調不良まで様々ですが、いずれも「お口の中の細菌」と「ご自身の免疫力」が関係しています。痛みの程度も、違和感程度の場合や激しい痛みなど、軽度ですぐに治る場合もあれば、腫瘍のような特殊な場合もあります。最も大切なのは、「たかが歯茎の腫れ」と放置せず、早めに原因を特定することです。特に歯周病は自覚症状なく進行するため、腫れや出血は貴重な早期発見のチャンスです。なので、数日様子をみて治らない場合は自己判断せずにすみやかに歯科医院を受診することが大事です。その上で、レントゲン撮影や検査を行い原因を特定し、適切な治療を行う必要があります。手遅れになると、歯の喪失にもつながる大事なサインです。
また事前にかかりつけ医を決めておくことで、あらかじめ自分の口の中で腫れやすい部位や腫れた場合の対処法などを知っておくことも重要なことです。さらに、定期的に口腔内の細菌数や歯石をメンテナンスで除去を行うことで腫れにくい口腔内状態を作ることも重要な要素です。 当院でも、定期的なメンテナンスをお勧めしております。メンテナンス方法などはメンテナンスのページをご覧ください。
「最近、歯茎の腫れが気になる」「疲れが溜まると腫れを繰り返す」そのようなお悩みは、大阪市東淀川区の「かとう歯科クリニック」へお気軽にご相談ください。当院では、患者様一人ひとりのお口の状態を丁寧に診察し、腫れの原因に応じた最適な治療とケアをご提案します。
また、腫れ等があり痛みがある場合は随時対応しますので医院の方までお電話でご連絡ください。
▼お電話またはWeb予約フォームより、お気軽にお問い合わせください。
当院へのアクセスはこちら
Web でのご予約はこちらから
初めての方へ(当院の診療方針)