ホワイトニング審美歯科
前歯の歯並びきれいに治すにはどうする?
最近、歯並びの相談を子供さんは勿論のこと、若い方や中高年の方から相談されることが多くなってきています。そこで、今回は前歯をきれいにするにはどういうやり方があるのかという事と、メリット、デメリットについて説明したいと思います。
まず初めに、前歯をきれいに見せる為には色、形、歯並びを考える必要があります。
歯の色(シェード)

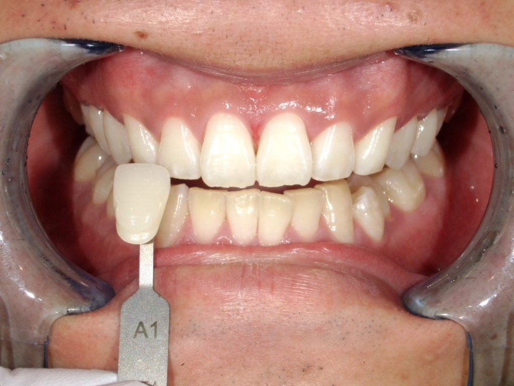
歯の色は本来人それぞれによって変わってきます。被せ物や詰め物をしている場合は除きますが、基本的には元々の歯を白くしようと思えばホワイトニングをするしかありません。着色を除いてホワイトニングするだけでも人の印象はかなり変わってきます。
ホワイトニングのメリットとしては、削る事なく歯を白く出来るというのがメリットです。
デメリットとしては、漂白ですので少ししみる事がある事。白さには個人差があり、白さには限度があるという事です。芸能人がやっているみたいな白さまでホワイトニングをしようと思うとかなり無理があります。あくまでホワイトニングは本来の歯の自然な白さまでしかなりません。また後戻りをする為、継続してする必要もあります。ホワイトニングについては以前のブログ『歯科医院のホワイトニングとセルフホワイトニングの違い』で詳細に説明していますのでそちらをご覧ください。
この他に歯を白くする方法としては歯を被せ物にしてしまう方法があります。
被せ物にする方法としては部分的(歯の表面)に被せる、ラミネートべニア治療と全てを被せてしまうセラミック治療があります。

この2つの方法に共通して言えるメリットは色も形もある程度に自由決めれるという事です。芸能人みたいに白くすることも可能ですし、一度被せてしまうと欠けたりする事はあるかもしれませんがセラミックですので色の後戻りもないです。しかし、デメリットとしては削合しなければならないということです。一度削合してしまうともう元には戻りません。なので健康な歯を削るという一番のデメリットが存在します。
形(シェイプ)
形についてはある程度仕方がないのが現状です。背の高い人もいれば、背の低い人もいるように歯の形は人それぞれ決まっています。なので出来る事も少なく基本的には被せてしまうしか形を大きく変えることはできません。
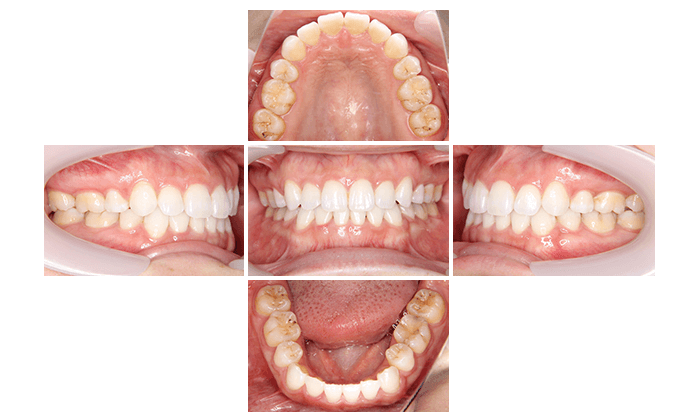
歯並び

人の印象で一番影響を与えるのが歯並びだと思います。歯並びを変える方法としては、大きく分けて2つあります。

セラミック治療;セラミック治療は簡単に言うと歯を削合してきれいな形や色の歯を入れてしまう方法です。大手の美容外科クリニックや芸能人がやっています。セラミック治療のメリットとしては治療期間が短く、理想の形や色のセラミックを入れる事が可能であるということです。デメリットとしては、先述した通り歯を削合しなければならない事があげられます。そして歯の位置を変えたい場合、歯の神経をとる可能性が高くそれでも無理な場合、歯を抜歯する可能性もあります。歯に対する侵襲性はかなり高くなって来ます。

矯正治療;矯正治療は歯を削る事なく歯を動かす事によって歯並びを改善する方法です。矯正方法はブラッケトやマウスピースなど色々あります。詳しくは矯正治療のページでご覧ください。矯正治療のメリットとしては、歯が並ぶスペースが無い場合は抜歯が必要なケースがありますが、基本的にはセラミック治療と較べると侵襲性は低いことが挙げられます。デメリットとしては、どうしても時間がかかる事と歯の形と色については変わらない事です。なので、歯の色を変えたい場合など矯正治療終了後、ホワイトニングを行う必要があります。
まとめ
このように、歯の見た目を変える為には色々な方法が存在します。価値観などは人それぞれなのでどの治療法が良いとか悪いとかはありません。でも、大事な事は一度削った歯は元には戻りません。なので、どの治療方法をするにしても、良く考え、色々先生と相談したうえで自分で納得し行う事が重要です。
当院でも、矯正やセラミック治療も対応しておりますのでお気軽にご相談ください。セラミック治療については審美歯科のページも合わせてご覧ください。